3 年
手机商铺
公司新闻/正文
1042 人阅读发布时间:2024-12-27 13:38
雄激素性脱发(Androgenetic Alopecia, AGA),也称为脂溢性脱发,是一种受遗传因素和雄激素影响的脱发类型,主要影响男性和女性,但在男性中更为普遍和显著。雄激素性脱发可能受到多种遗传因素的影响,包括与雄激素代谢、毛囊生长周期调控相关的基因变异,雄激素在头皮的特定区域(如额叶和顶点区域)与毛囊中的雄激素受体结合,导致毛囊逐渐萎缩和退化。
AGA模型是研究雄激素性脱发的重要工具,通过构建不同类型的模型可以深入了解其病理机制并开发新的治疗方法。研究中常常通过给小鼠注射二氢睾酮雄激素,来模拟雄激素过多引起的脱发病理生理状态[1][2]。
1、实验动物:C57BL6 小鼠,雄性,周龄 6-8 周 ,体重 20-24g。
2、实验分组:正常组(normal组),模型组(model组)。
3、AGA造模:适应性饲养7天后,将所有小鼠背部皮肤约 5×3cm 区域进行脱毛(day0)。模型组腹腔注射1mg/mL双氢睾酮1ml,对照组腹腔注射1ml溶剂,每天1次,连续30天,即可造模完成。
4、模型验证
(1)皮肤外观观察:脱毛后,每隔7天小鼠背部脱毛处皮肤拍照,根据皮肤颜色量表评分。

图1 小鼠背部皮肤颜色分值量表

图2 正常组和模型组脱毛后皮肤颜色变化示意图

图3 模型组和正常组小鼠脱毛后背部皮肤颜色变化
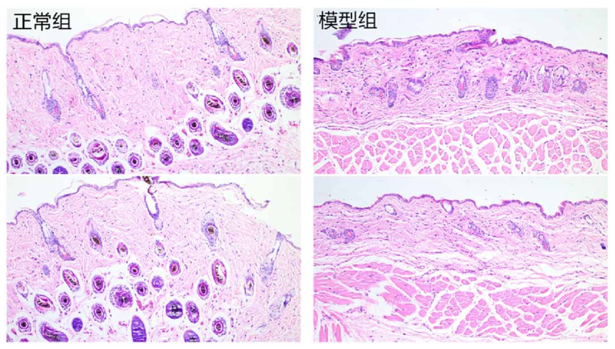
(2)皮肤组织HE染色:取正常组和模型组小鼠背部皮肤,进行 HE染色。

图4 造模30d模型组、正常组小鼠背部皮肤HE染色(100×)
(3)免疫荧光检测 AR

图4 造模30d后模型组和正常组小鼠背部皮肤AR免疫荧光染色注:(A)、(C)为模型组免疫荧光染色图片,(B)、(D)为正常组免疫荧光染色图片。红色荧光标记的是AR。
5、模型特点
与正常组(Normal)相比,模型组(Model)小鼠背部皮肤组织的毛囊密度降低,毛球部直径缩小,且免疫荧光检测显示AR 表达上调。
参考文献
[1] 吴亭.米诺地尔联合660nm红光治疗雄激素性脱发小鼠模型的实验研究[D].川北医学院,2023.DOI:10.27755/d.cnki.gcbyx.2023.000252.
[2] 刘霞霞.用于雄激素脱发的米诺地尔/人参皂苷传递体的制备及评价[D].山西医科大学,2023.DOI:10.27288/d.cnki.gsxyu.2023.000541.